
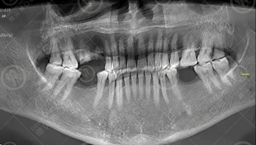
牙科诊疗,往往是一场小型的外科手术。看牙拍片,是为了更全面地了解牙齿的情况,确定治疗范围、治疗深度。以最常见的拔牙为例,没有拍片检查,牙医怎么知道牙根是2个、3个、4个?是弯曲的还是粗壮的?需不需要开刀?
补牙、拔牙、种牙、矫牙、根管治疗等常见的操作,都需要拍片检查。



牙科诊疗,往往是一场小型的外科手术。看牙拍片,是为了更全面地了解牙齿的情况,确定治疗范围、治疗深度。以最常见的拔牙为例,没有拍片检查,牙医怎么知道牙根是2个、3个、4个?是弯曲的还是粗壮的?需不需要开刀?
补牙、拔牙、种牙、矫牙、根管治疗等常见的操作,都需要拍片检查。